Protesi e Implantologia


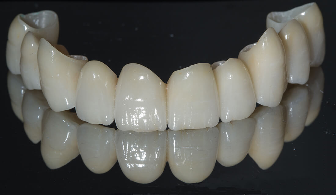
Corone Protesiche in Ceramica Integrale Stratificata
Protesi
Una protesi dentaria è un manufatto, realizzato da un odontotecnico abilitato, sotto la guida di un odontoiatra, utilizzato per ripristinare la dentatura originaria persa o compromessa per soddisfare esigenze funzionali e/o estetici.
Le protesi dentarie possono essere:
- Fisse, cioè saldamente connesse ai denti naturali (capsule metaliche e in ceramica, ponti) o, in assenza di elementi dentali a cui ancorarsi, fissate alle mascelle (riabilitazioni implanto-protesiche), possono essere confezionate con diversi materiali;
- Parzialmente mobili, ossia appoggiate oltre che sui denti residui anche sulle gengive, con larga base palatina e linguale, removibili dal portatore stesso;
- Totalmente mobili (dentiere), applicate su una o entrambe le arcate dentarie prive di denti.

Faccetta estetica prima di essere applicata sul dente
Faccette Estetiche
In odontoiatria le faccette estetiche sono sottili lamine di ceramica o di resine composite che vengono applicate sulla superficie di denti sani per modificarne aspetto, colore e forma, talvolta anche per modificare parametri occlusali.
Questo è uno dei metodi di restauro dentale che richiede una preparazione minimale dei denti. L’unione fra dente e faccetta avviene mediante un cemento resina composito.
Le faccette quindi possono risolvere con un trattamento veloce e poco invasivo problematiche di tipo estetico che posso causare problemi anche emotivi soprattutto in pazienti giovani che da molti anni sono condizionati da denti pigmentati, o più piccoli del normale (conoidi), che influiscono sulla capacità di relazione con gli altri ragazzi.


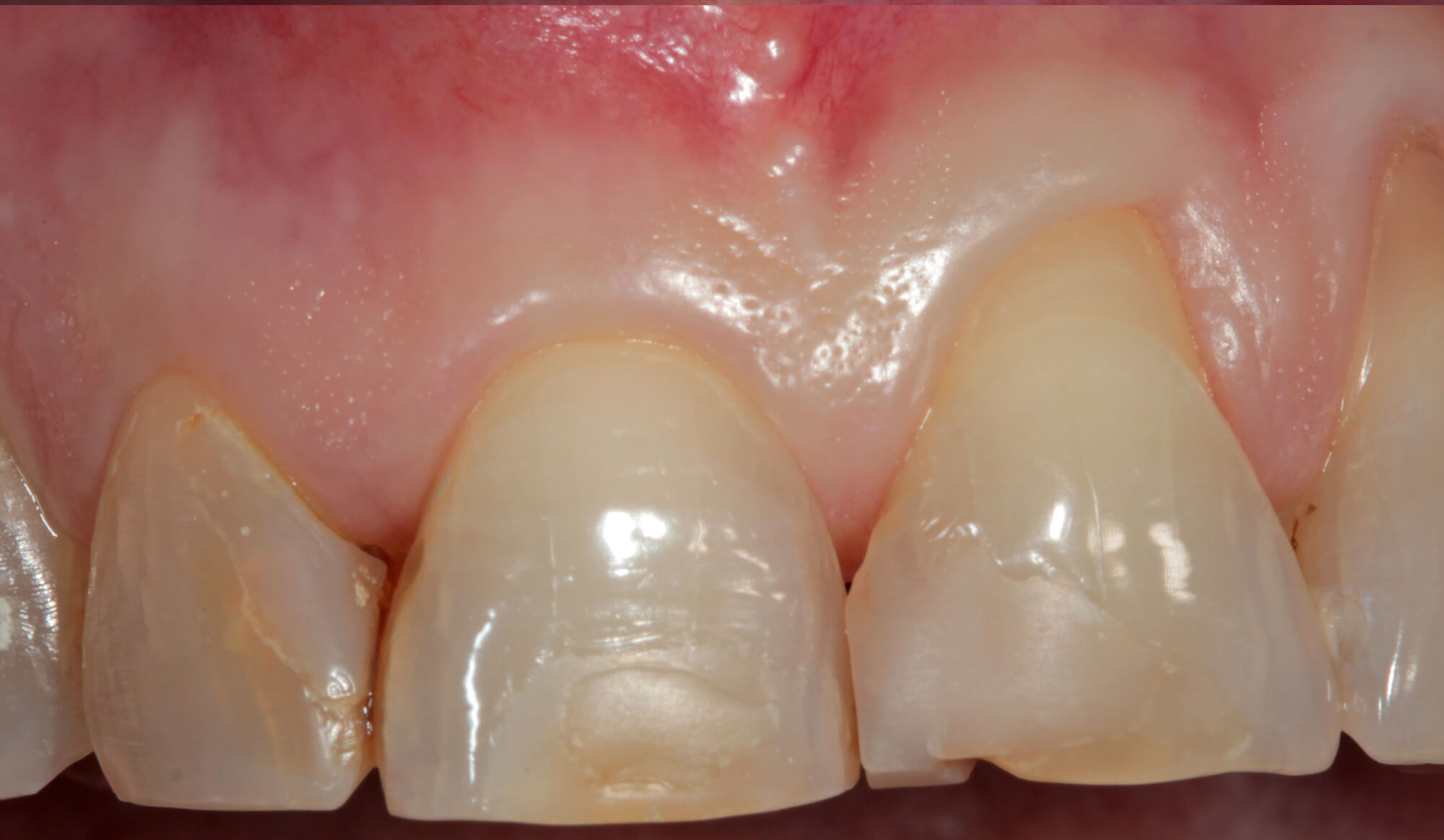
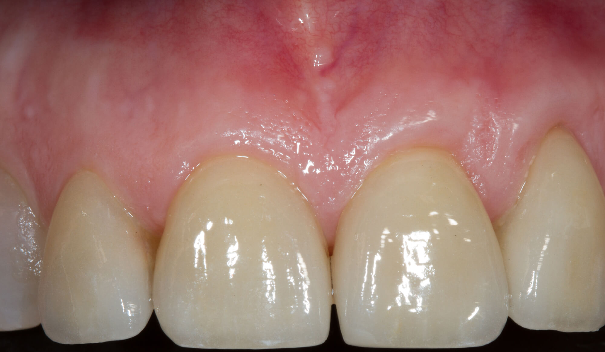
Riabilitazione complessa con applicazione di Faccette in Cermaica

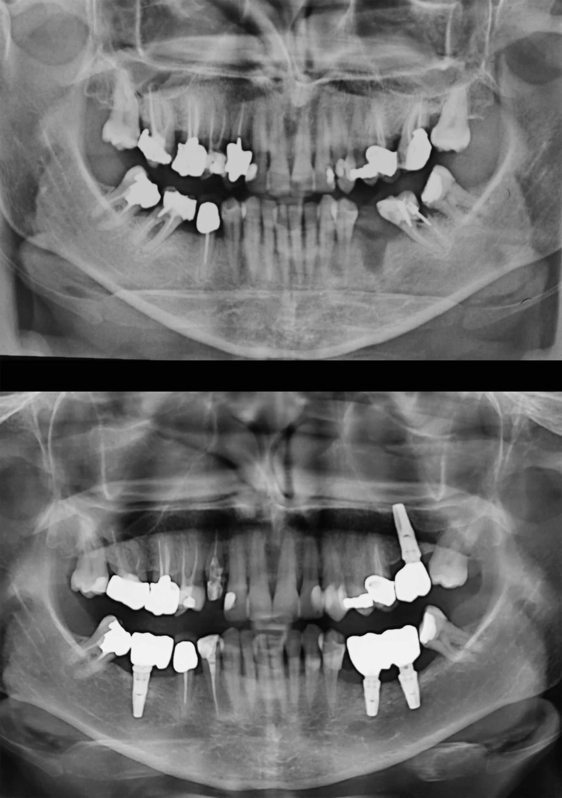
Trattamento Riabilitativo complesso con eliminazione di tutti gli elementi dentari con processi infettivi, Trattamento di Rigenerazione Ossea e Riabilitazione Implanto Protesica finale
Implantologia
Per implantologia dentale si intende quell’insieme di tecniche chirurgiche atte a riabilitare funzionalmente un paziente affetto da edentulismo totale o parziale (mancanza solo di alcuni oppure di tutti denti) mediante l’utilizzo di impianti dentali ovverosia dispositivi, metallici e non, inseriti chirurgicamente nell’osso mandibolare o mascellare atti a loro volta a permettere la connessione di protesi, fisse o mobili, per la restituzione della funzione masticatoria.
Tali impianti possono essere di diverse forme, inseriti in diverse sedi con tecniche differenti e poi connessi alle protesi con diverse tempistiche.
Attualmente gli impianti sono quasi tutti realizzati in titanio.
I più utilizzati sono quelli a vite di tipo endosseo, nella maggioranza dei casi lasciati sommersi sotto gengiva per un periodo congruo in base alla sede.
Nel nostro Studio Dentistico, utilizzando tecniche avanzate di Rigenerazione Ossea e Tissutale, con specifiche conoscenze cliniche e tecniche di Protesi, Implantologia e Occlusione e l’esperienza maturata in anni di attività, siamo in grado di risolvere la maggior parte delle situazioni, anche gravi e/o presenti da molti anni, di mancanza parziale o totale di denti.
