Parodontologia
Che cos’è la Parodontologia?
La parodontologia è il ramo odontoiatrico che si occupa della prevenzione, diagnosi, cura e mantenimento di tessuti molli e duri che circondano il dente (tessuti del parodonto), ovvero gengiva, osseo alveolare, cemento radicolare, legamento parodontale.
La malattia parodontale
La malattia parodontale è molto diffusa nella popolazione con segni e sintomi che possono variare da persona a persona. Vi sono forme giovanili che colpiscono la fascia di età 18-30 anni ma solitamente sono interessate le persone con più di 35 anni. La Parodontite è la causa principale della perdita di denti negli adulti.
Solitamente è scarsamente curata e percepita dal paziente. Il motivo è dato dal fatto che nelle fasi iniziali della malattia non si riscontra quasi mai dolore o altri disturbi che spingono il paziente a recarsi presso un centro odontoiatrico per effettuare un controllo.

Parodontite (piorrea)
La parodontite, più conosciuta con il nome di piorrea, è una malattia che nello stadio iniziale coinvolge i tessuti intorno alla radice del dente e dell’osso fino a provocare una mobilità del dente stesso, la formazione di tasche e la perdita dell’elemento dentale.
Cause
Le cause principali della malattia parodontale sono da attribuire all’accumulo di batteri tra dente e gengiva derivanti dai residui di cibo i quali, se non rimossi adeguatamente, si trasformano in placca batterica e, successivamente in tartaro che andrà ad inserirsi sotto la gengiva.
Sintomi
Anche se, come detto in precedenza, la malattia parodontale solitamente non provoca dolore, i segnenti sintomi dovrebbero essere considerati un campanello d’allarme: sanguinamento delle gengive, mobilità dentale, dolore durante lo spazzolamento, alito cattivo.

Visione schematica della Parodontite: gengive arrossate e ritirate, radice dentarie esposte e con calcoli di tartaro
Cure e Soluzioni
Tanti anni fa i “vecchi dentisti” dicevano: “per la piorrea non esiste una soluzione! Sei destinato a perdere i tuoi denti!”
Per fortuna di acqua sotto i ponti ne è passata tanta e al giorno d’oggi la cura della malattia Parodontale porta a salvare situazioni che in passato avrebbero portato all’estrazione. L’unica prevenzione valida all’insorgere della malattia parodontale è l’Igiene Orale periodica.
Una volta che la malattia parodontale è insorta deve essere studiata mediante una specifica Valutazione Diagnostica: radiografie endorali computerizzate, cartella parodontale, valutazione di ogni singolo dente.
Il Parodontologo, dopo aver studiato ogni caso clinico può proporre al paziente la cura migliore per conservare i suoi denti : terapia iniziale causale (istruzioni di igiene orale e rimozione meccanica del tartaro), rivalutazione del caso e della terapia mirata, eventuale intervento di microchirurgia e terapia di mantenimento.

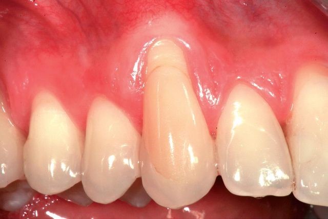
Esempio di recessione gengivale
Recessione Gengivale
La recessione gengivale è una patologia dentale che riguarda il ritiro della gengiva verso il margine apicale del dente, la zona che corrisponde alla radice del dente.
Questa situazione, oltre ad essere esteticamente disturbante, può portare ad avere ulteriori disagi, come ipersensibilità dentale, infiammazione e formazione di carie sulla radice che si scopre. Visivamente la recessione gengivale si presenta con la forma più allungata dei denti, proprio a causa del ritiro della gengiva che scopre parte della radice.

Spazzolamento con tecnica Roll e spazzolino morbido
Perché le gengive si ritirano?
Una delle cause principali della recessione gengivale è lo scorretto spazzolamento, unito all’uso di uno spazzolino troppo duro.
Sostanzialmente, ci sono manovre, che usiamo per la pulizia dei denti che, se scorrette, possono causare traumi che, nel tempo, conducono al ritiro gengivale. Anche l’utilizzo scorretto del filo interdentale può causare danni alla gengiva.

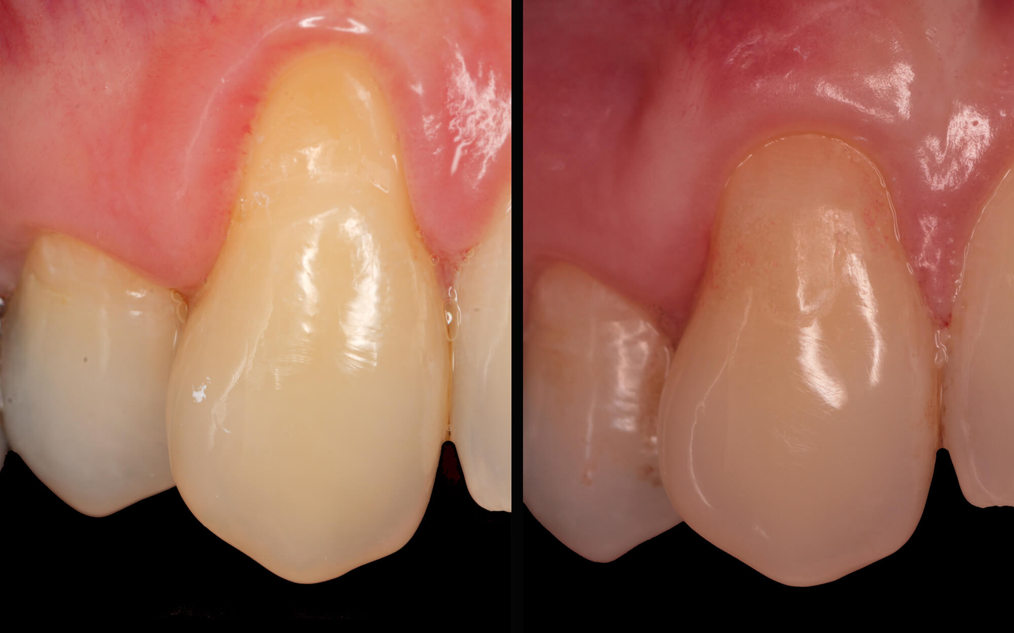
Canino superiore con recessione: prima e dopo Intervento di Chirurgia Mucogengivale con sostituti dermici
Quando le recessioni sono iniziali è sufficiente modificare le tecniche di spazzolamento e tenere le lesioni sotto controllo.
Quando iniziano a diventare un problema estetico, soprattutto nei denti anteriori , quando il paziente accusa molta sensibilità o i denti tendono a cariarsi sulla porzione di radice scoperta la Chirurgia Mucogengivale è in grado di riportare le gengive a dei livelli corretti.
La tecnica chirurgica prevede spesso il prelievo di una porzione di mucosa prelevata dal palato che andrà inserita nella zona della recessione gengivali. Questo normalmente causa un notevole fastidio al paziente nella zona di prelievo dal palato.

Canino superiore con recessione: prima e dopo Intervento di Chirurgia Mucogengivale con sostituti dermici
Da più di 15 anni la ricerca sui biomateriali ha messo a disposizione degli ottimi sostituti connettivali che evitano il prelievo di connettivo dal palato.
Per il trattamento chirurgico di circa 1.500 recessioni gengivali il dr. Patarino Domenico ha sempre utilizzato i biomateriali sostituti dermici, evitando il prelievo dal palato, con ottimi risultati clinici, evitando le complicanze possibili di questo intervento e diminuendo di molto il dolore e il gonfiore post-operatorio dei suoi pazienti.




